Beiträge der Internationalen Schmerzforschung
Neben unseren eigenen Forschungen beobachten wir die Entwicklungen der internationalen Schmerzforschung genau. Mit Blick auf unsere Therapie und unsere Schmerzpatienten ist eine Frage dabei von besonderem Belang: Gibt es Studien, die Teilaspekte oder grundsätzliche Annahmen unseres Modells zur Entstehung und Behandlung von Schmerzen stützen?
Ja, denn immer mehr Studien belegen den Zusammenhang. Damit du mehr darüber erfahren kannst, fassen wir diese Studien hier leicht verständlich zusammen.
Kniearthrose-OP in vielen Fällen vermeidbar?
Wissenschaftler in den USA untersuchten OP-Alternativen für Arthrosepatienten – mit bahnbrechenden Ergebnissen.
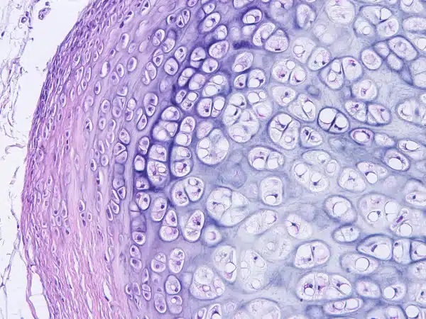
Warum bekommen Affen viel seltener Arthrose?
Die Erkenntnisse dieser Studie gelten bis heute als Meilenstein in der Arthroseforschung.
Karpaltunnelsyndrom: schonende Therapieformen
Eine aktuelle Übersichtsstudie zeigt: nicht-operative Behandlungsansätze sind so effektiv wie OPs.
Studie zeigt: Schulter-OPs sind oft vermeidbar
Bei sogenannter „Schulterenge“ wird häufig operiert – zu Unrecht, wie eine Studie zeigt.
Bewegungstherapie wirkt bei Frozen Shoulder
Eine Übersichtsstudie zeigt: Wenn das Schultergelenk „einfriert“ wirken Übungen am besten.
Selbstheilungsprozesse bei Knorpelschäden
Hoffnung bei Arthrose: Untersuchungen zeigen, dass sich menschlicher Knorpel regeneriert.
Faszien-Rollen verbessert Gelenkbeweglichkeit
Faszienrollen werden häufig eingesetzt – beispielsweise im Sport. Eine Studie zeigt nun: Zu Recht, denn sie verbessern die Beweglichkeit.
Nobelpreis Medizin 2021 zu Schmerzforschung
Warum fühlen wir Schmerz? Grundlagenforschung liefert Erkenntnisse, die neue Wege in der Schmerztherapie aufzeigen.
Arthrosebehandlung: Neue Erkenntnisse aus der Biotechnik
Forschern ist es gelungen, körpereigenes Knorpelwachstum zu stimulieren.
Gesundheits-Statistik belegt: Rücken-Operation oft unnötig
Bei Rückenbeschwerden wird in Deutschland zu schnell zum Messer gegriffen
Zu viele Patienten mit unspezifischen Rückenschmerzen im Krankenhaus
Bei Rückenschmerzen kommt es immer wieder zu Fehlversorgungen. Ambulante Maßnahmen und Übungen sind oft besser geeignet.
Faszien können Ursache für Schmerzen sein
Mit gezielten Therapieangeboten lassen sich viele Schmerzen besser behandeln.
Heilprozesse bei Arthrose im Kniegelenk
Bei Maßnahmen, die eine Knieprothesen-OP hinauszögern sollten, machten Forscher eine zufällige Entdeckung, die das Potenzial für einen neuen Therapieansatz in der Arthrosebehandlung hat.
Das Bewegungsverhalten der Deutschen
Die Coronapandemie hat den privaten und beruflichen Alltag tiefgreifend verändert. Das hat nachhaltige Auswirkungen auf unser Bewegungsverhalten.
Dehnübungen eignen sich teilweise zur effektiven Schmerztherapie
Ein Teil der Schmerzen und Erkrankungen des Bewegungsapparates können durch Dehnübungen vorgebeugt, geheilt oder zumindest gelindert werden.
Studie lesenBewegungstherapie kann OP mit Gelenkprothese hinauszögern
Die Deutsche Gesellschaft für Endoprothetik stellt fest: Bewegung begünstigt bei Gelenkerkrankungen den Heilungserfolg.
Studie lesenKniearthrose: Werden zu viele Knieprothesen eingesetzt?
Bei Kniearthrose kann der Einsatz eines künstlichen Gelenks oft verhindert oder hinausgezögert werden – ein aktueller Report klärt auf.
Studie lesenWissenschaftliche Erkenntnisse zu Dehnübungen
Dehnen hat positive Effekte auch auf Bereiche des Körpers, die nicht gedehnt werden. Diese Ergebnisse können in der Reha Bedeutung bekommen.
Studie lesenSo wirken Dehnübungen bei Älteren
Ältere Menschen können genauso gut von einem Dehntraining profitieren wie jüngere. Das beweist eine Studie der Universität des Saarlandes. Dabei gilt es Folgendes zu beachten:
Studie lesen